Cosmetische correctie
Voorbeeld van een cosmetische correctie:
- De hoek aan de linkervoorpand is eens hersteld na een trauma:
- in de loop der jaren is hij lelijk verkleurd. na verwijderen van de oude vulling en herstel met composiet is hij weer keurig netjes in de juiste kleur.



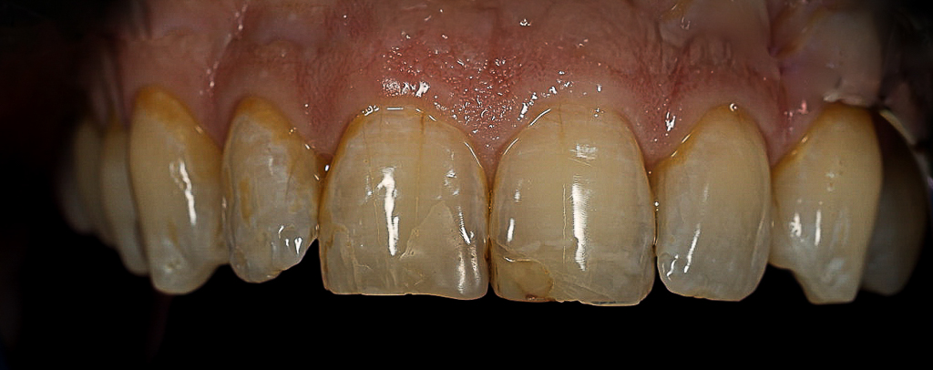
Hier boven een voorbeeld van een cosmetische correctie:
- Links de situatie zoals hij was.
- Rechts de situatie na één uur; direct na correctie. De tanden zijn verbreed met composiet en de storende witte vlekken gemaskeerd.
Hieronder een afgesleten onderfront met te kleine ondertanden.
Ook hier zijn de tanden verbreed en de snijrand hersteld (opname ook direct na correctie).

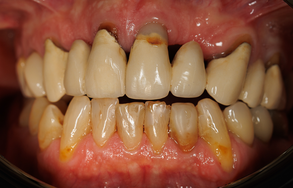
Hieronder een oude brug met al diverse reparaties.
Het werd nu echt tijd om de brug te vervangen omdat er op diverse plekken lekkages en caries was ontstaan. Goed is te zien hoeveel de kaak geslonken is onder de dummy ter plaatse van de kleine voortand.

De tanden zijn lang maar sluiten weer aan op het tandvlees zonder grote gaten tussen de tanden.
Belangrijk is dat het wel goed schoon te houden is!
